Black gum causes and treatments to know

PIN

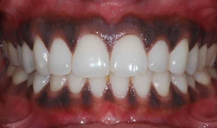
Maintaining healthy gums can help enhance the quality of life and reduce the risk of oral health issues. However, many people are not aware of black gums, and failing to address them can lead to several complications. Understanding the causes and treatments will help individuals reduce the condition to a greater extent. Moreover, they can focus more on maintaining their oral health in a perfect state. Healthy gums are typically pink, and some people might experience black gums or dark spots, which need immediate attention.

What are the causes of black gums?

Several factors are responsible for the formation of black gums, which determine whether they need treatment or not.

Here are some causes of black gums.

  • Melanin pigmentation
  • Smoking and tobacco use
  • Genetics and ethnic background
  • Poor oral hygiene
  • Gum disease
  • Medication side effects
  • Amalgam tattoos
  • Exposure to heavy metals

What are the effective treatments for black gums?

1. Scalpel gingivectomy

It is a surgical procedure that involves removing black gums with a scalpel. Bunny Teeth is the best dental clinic in T Nagar that offers this service with the latest approaches. The clini follows the best practices while addressing the problems of black gums.

2. Surgical abrasion

This surgical procedure involves using specific instruments to remove black pigments in the most superficial layers of the gum.

3. Cryosurgery

Cryosurgery aims at freezing the affected gums by applying cryogenic materials such as liquid nitrogen at very low temperatures. It offers a quick recovery time to patients with optimal results.

4. Gingival grafts

Gingival is another effective treatment meant for treating black gums, which involves harvesting unpigmented tissue from the roof of the mouth and applying it to the gums. This conceals the dark gum tissue instead of eliminating it.

beforeafterblackgums

5. Electrosurgery

An electrosurgical procedure involves using electric current to excise discolored tissue with high efficiency to get the desired outcomes. It is a technique designed for treating black gums by using electrical currents to cut away the tissue. However, it is not suitable for those who have only small dark spots on the gums.

5. Laser therapy

Laser therapy is the best option for removing a section of damaged, discolored gums without removing the healthy tissue. It is a relatively painless procedure and allows a person to return to his/her everyday routine immediately.

6. Scaling and root planning

If accumulated tartar is the cause of black gums, then a dentist might recommend scaling and root planning to get rid of it with good results. The scaling procedure involves removing the hard tartar, while root planning provides ways to smooth the tooth roots.

What are the ways to prevent black gums?

  • Regular dental cleaning lets a person remove plaque and tartar buildup, thereby reducing gum disease and enhancing overall gum health
  • Maintaining good oral hygiene will help prevent infection or inflammation, which gives ways to overcome potential threats
  • Avoiding tobacco products and alcohol will improve gum conditions, which help prevent black gums
  • Eating a balanced diet rich in vitamins and minerals supports healthy gums and bones that will prevent black gums